Przed 40. Maratonem Warszawskim
Maraton to bieg, który zawsze wzbudza obawy i niepokój związany jego zakończeniem. Trudno być pewnym wyniku; ta niepewność towarzyszy mi przed każdym startem.
Zapraszam również na mój profil Facebook
Maraton to bieg, który zawsze wzbudza obawy i niepokój związany jego zakończeniem. Trudno być pewnym wyniku; ta niepewność towarzyszy mi przed każdym startem.
W 1995 roku Keuttner i Goldberg zdefiniowali chorobę zwyrodnieniową: „Choroba zwyrodnieniowa to wynik zarówno biologicznych, jak i mechanicznych zdarzeń, które destabilizują powiązane ze sobą procesy degradacji i syntezy chrząstki stawowej i macierzy pozakomórkowej oraz warstwy podchrzęstnej kości.
Kolejne biegowe wydarzenia mijają, a ja niestety nie mogę się nawet pochwalić uczestnictwem.
Ból kolana to jeden z najbardziej niewdzięcznych problemów, z jakimi zgłaszają się do ortopedy pacjenci. Dotyka zarówno młodszych, jak i starszych pacjentów.
Złamanie to sytuacja, która nagle stawia nasz świat na głowie. Nikt nie jest na to przygotowany. Czasami jeden nieroztropny ruch czy manewr, nagły trzask i pojawia się ogromny ból. W jednej chwili nie jesteśmy w stanie używać obolałej kończyny.
DetailsJedną z najbardziej tajemniczych kontuzji biegaczy jest ból piszczeli. Przyznam szczerze, że w polskich podręcznikach mało jest informacji o tej frustrującej kontuzji.
Jak pokazuje moja wieloletnia praktyka bardzo często pacjenci zgłaszając się do nas lekarzy nie znając fachowej terminologii urazu, za to bardzo barwnie opisują swoje problemy ze zdrowiem, używając bardziej lub mniej kolokwialnych określeń typu obicie, wykręcenie, zbicie itp.
Każdej zimy, kiedy tylko pojawia się pierwszy śnieg, a termometr pokazuje minusowe temperatury, Polacy ruszają na urlopy zimowe. Rozpoczyna się czas tzw. „białego szaleństwa”.
13. Półmaraton Warszawski już za nami. Fantastyczna impreza, pogoda, atmosfera i mnóstwo bardzo dobrych wyników wśród znajomych. Tym razem nie chcę pisać o sobie.
Już jutro start 13. Półmaratonu Warszawskiego. To jeden z moich ulubionych biegów. Niestety, w tym roku stanę na starcie w zupełnie innym nastroju, niż zwykle.
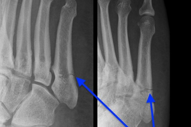
Złamania zmęczeniowe rozbudzają wyobraźnie pacjentów. Bardzo często powodem wizyty u lekarza ortopedy jest właśnie obawa przed tego typu złamaniem, a praktycznie każdy ból kończyny dolnej jest przez pacjentów utożsamiany właśnie z tym problemem. Na szczęście, większość z tych obaw nie znajduje potwierdzenia w rzeczywistości.
Niestety, optymizm był tydzień temu, gdy poprawiłem wynik. Teraz się to nie powtórzyło: 46:58.