Tak trzeba rozmawiać z lekarzem, by cię zrozumiał – Biegający Ortopeda dla Fakt.pl
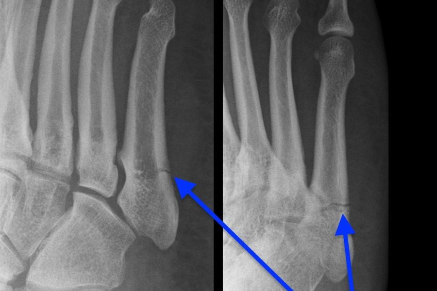
Jak pokazuje moja wieloletnia praktyka bardzo często pacjenci zgłaszając się do nas lekarzy nie znając fachowej terminologii urazu, za to bardzo barwnie opisują swoje problemy ze zdrowiem, używając bardziej lub mniej kolokwialnych określeń typu obicie, wykręcenie, zbicie itp.





