Gojenie złamań
Złamanie to zdarzenie niespodziewane, ale w pełni demokratyczne, bo może przytrafić się każdemu z nas. Niezależenie od wieku, chwila nieuwagi może skutkować sytuacją, w której dochodzi do urazu i w konsekwencji do złamania kości. Zadajemy sobie wtedy pytania: czy kość zawsze się zagoi? co wpływa na gojenie kości? Od czego zależy gojenie? czy można przyspieszyć ten proces?
Złamanie może być następstwem pojedynczego urazu lub powtarzających się mikrourazów (złamanie zmęczeniowe). W przypadku złamań urazowych, do złamania dochodzi w ułamku sekundy. Obrażenia nie ograniczają się jedynie do kości, ale towarzyszy temu uszkodzenie okolicznych tkanek miękkich (skóry, tkanki podskórnej, mięśni). Ma to istotne znaczenie dla dalszych losów kości i przebiegu leczenia. Duża energia urazu, która łamie kość, uszkadza również naczynia krwionośne tkanek miękkich, a tym samym upośledza dopływ krwi do kości, co ma wpływ na możliwości gojenia złamania.
Wyjątkowa tkanka – kość.
Kość to wyjątkowa tkanka, która potrafi odtworzyć swoją ciągłość i strukturę do takiego samego stanu jak przed uszkodzeniem. Jest to proces wieloetapowy, który zachodzi po złamaniu kości i ma na celu przywrócenie integralności uszkodzonej tkanki kostnej. Unikalny proces gojenia przywraca uszkodzoną tkankę kostną o takim samym składzie komórkowym, takiej samej strukturze i funkcji biomechanicznej. Nie ma w człowieku drugiej takiej tkanki ! Wynika to z faktu, że kość to żywa tkanka, która podlega ciągłej przebudowie. W tym również tkwi jej biologiczny potencjał regeneracji i naprawy1.
Już zaraz po złamaniu rozpoczyna się proces gojenia. Jest to skomplikowany i płynny proces regeneracyjny, którego celem jest przywrócenie uszkodzonej kości do stanu sprzed wypadku. Kość może odtworzyć swoją ciągłość w następstwie dwóch różnych procesów gojenia:
1.zrostu pierwotnego (ang. pimary bone healing)
2.zrostu wtórnego (ang. seconadary bone healing )
Z racji objawów bólu, zablokowania stawu, braku możliwości swobodnego poruszania pacjenci ci wymagają pilnego leczenia.
Zrost pierwotny
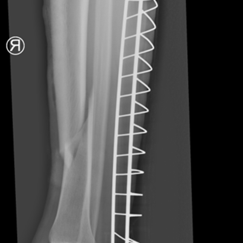
Jest obserwowany tylko w przypadku leczenia operacyjnego złamań i nie zachodzi w naturze. Do powstawania zrostu pierwotnego konieczna jest anatomiczna repozycja (nastawienie) złamania oraz stabilne zespolenie kości. Stabilne zespolenie to takie, które pozwoli wyłączyć wszystkie ruchy w miejscu złamania. Gdy takie warunki zostaną osiągnięte, następuje kaskada bezpośredniego gojenia kości-zrostu pierwotnego. W wyniku tego procesu możliwa jest bezpośrednia regeneracja kości do takiej samej struktury i budowy jak sprzed urazu, bez konieczności jakichkolwiek etapów przebudowy. Aby taki proces nastąpił, konieczne jest leczenie operacyjne i zespolenie kości przy pomocy płytek i śrub, bo tylko taki rodzaj zespolenia eliminuje niepożądane ruchy w miejscu złamania.
Przykład takiego zespolenia obrazuje zdjęcie 1.
Zrost wtórny
Jest najczęstszą formą gojenia złamań. Występuje w naturze, w przypadku leczenia nieoperacyjnego złamań oraz w leczeniu operacyjnym złamań, gdy zastosowane są zespolenia dynamiczne. Zespolenia dynamiczne kości to znaczy takie, które pomimo mocowania kości, umożliwiają ruchy dociskowe, osiowe w miejscu złamania, z wyłączeniem ruchów rotacyjnych i ścinających. Zrost wtórny przebiega w kilku etapach:
- Faza zapalenia-faza krwiaka
- Faza tworzenia miękkiej kostniny
- Faza tworzenie twardej kostniny
Faza zrostu ostatecznego i przebudowy (remodelingu)
Faza zapalenia-faza krwiaka
Po złamaniu dochodzi do uszkodzenia naczyń krwionośnych w kości, okostnej oraz okolicznych tkanek miękkich, co skutkuje krwawieniem i powstaniem krwiaka wokół miejsca złamania.
Krwiak składa się z wynaczynionych komórek krwi obwodowej, ale także komórek szpiku kostnego. Wkrótce po złamaniu dochodzi również do napływu komórek układu odpornościowego, takich jak neutrofile, makrofagi oraz limfocyty. Te komórki usuwają martwe tkanki i inicjują procesy naprawcze. Makrofagi, neutrofile i płytki krwi uwalniają prozapalne cytokiny, takie jak czynnik martwicy nowotworu alfa (TNF-α), białka morfogenetyczne kości (BMP), czynniki wzrostu pochodzące z płytek krwi (PDGF), transformujący czynnik wzrostu beta (TGF-Beta), czynnik wzrostu śródbłonka naczyniowego (VEGF) i interleukiny (IL-1, IL-6, IL-10, IL-11, IL 12, IL-23)2. Cytokiny stymulują niezbędną biologię komórkową w miejscu złamania, rekrutują komórki zapalne i promują angiogenezę w miejscu uszkodzenia3.
Wewnątrz krwiaka zaczyna powstawać sieć włókien fibrynowych i kolagenowych, które następnie stopniowo są zastępowane przez tworzącą się ziarninę. W tym samym czasie osteoklasty (komórki, które resorbują kość) usuwają martwe elementy na końcach odłamów złamania. Odpowiedź zapalna rozpoczyna się bezpośrednio po złamaniu i trwa tak długo, dopóki nie zacznie się tworzenie tkanki łącznej włóknistej, chrząstki i kości (1-7 dni po złamaniu). Rysunek 1.
Faza tworzenie miękkiej kostniny
Reakcja zapalna rekrutuje do miejsca złamania fibroblasty, komórki śródbłonka, co skutkuje tworzeniem ziarniny zapalnej. Ziarnina zapalna tworzy wstępną stabilizacje pomiędzy odłamami kostnymi. Tworzenie miękkiej kostniny następuje po ok 7 dniach od urazu. Ma ona strukturę włóknisto-chrzęstną. Dochodzi do odnowienia pierwszych naczyń. Zmniejszają się dolegliwości bólowe i obrzęk. Pod koniec tworzenia się miękkiej kostniny stabilność jest na tyle duża, że zapobiega przemieszczeniu złamania. Drugi etap gojenia charakteryzuje się przede wszystkim rozrostem miękkiej kostniny. W wyniku stymulacji komórek pre-kursorowych w warstwach rozrodczych (kambialnych) okostnej i sródkostnej zachodzi różnicowanie się osteoblastów. W tych warstwach, z dala od miejsca złamania, rozpoczyna się proces kostnienia na podłożu łącznotkankowym. Powstała w ten sposób kość grubowłóknista obrasta okostną i wypełnia kanał szpikowy. Następnie kapilary naczyń wrastają w obrąb kostniny, co poprawia jej unaczynienie. Bliżej miejsca złamania mezenchymalne komórki prekursorowe migrują i proliferują w obrębie kostniny, różnicując się w fibroblasty i chondrocyty, które z kolei produkują charakterystyczna dla siebie macierz zewnątrzkomórkowa i stopniowo zastępują krwiak.
Faza tworzenia twardej kostniny
Gdy fragmenty kostne zostaną połączone miękką kostniną, rozpoczyna sią ich mineralizacja, która trwa do momentu powstania trwałego połączenia kostnego (3-4 miesiące). Aby kość mogła odtworzyć swą ciągłość, konieczne jest zaangażowanie, proliferacja i różnicowanie się określonych komórek macierzystych mezenchymalnych (ang. mesenchymal stem cell MSC ) w komórki osteogeniczne. Nie wiadomo dokładnie, skąd pochodzą te komórki. Większość danych wskazuje, że komórki MSC pochodzą z otaczających tkanek miękkich i szpiku kostnego. W rezultacie rozpoczyna się chondrogeneza, tworząc bogatą w kolagen sieć włóknisto-chrzęstną (callus) obejmującą końce złamania. W tym samym czasie, w sąsiedztwie warstwie okostnej, komórki osteoprogenitorowe układają warstwę tkanki kostnej. Uwalnianie cytokin, takich jak VEGF i TGF B, indukuje angiogenezę w miejscu złamania4. Proces angiogenezy jest krytyczny dla całego procesu gojenia złamania. Opóźniony zrost lub jego brak może być konsekwencją niedostatecznej angiogenezy. Okostna i szpik służą jako główne źródła dla fibroblastów biorących udział w gojeniu się złamania5 . Fibroblasty odgrywają kluczową rolę, gdyż wydzielając składniki macierzy pozakomórkowej, takie jak kolagen oraz glikoproteiny. Fibroblasty różnicują się w osteoblasty kierowane przez różne białka morfogenetyczne kości (BMP) i czynniki wzrostu fibroblastów (FGF) uwalniane przez organizm w miejscu złamania. Tworzenie się twardej kostniny rozpoczyna się dystalnie od szczeliny złamania w miejscu, gdzie naprężenia są najmniejsze. Dzięki temu, w centralnej części złamania, naprężenia obniżają się, co stymuluje powstawanie kości w tym regionie. Z tego powodu kościotworzenie rozpoczyna się obwodowo i postępuje dośrodkowo.
Faza zrostu ostatecznego i przebudowy
Faza przebudowy rozpoczyna się w momencie, gdy młoda kość grubowłóknista mocno zespoli miejsce złamania. Na tym etapie niedojrzała kość jest zastępowana przez kość beleczkowatą na drodze resorpcji i przebudowy osteonów. Proces ten może trwać od kilku miesięcy do kilku lat. Kończy się po przywróceniu pierwotnej morfologii (kształtu) kości i odtworzeniu kanału szpikowego. W tej fazie dochodzi do zastępowania młodej kości grubowłóknistej w kość ostateczną. Proces ten nazywany jest kostnieniem śródchrzęstnym. Tkanka chrzęstna jest stopniowo zastępowana przez tkankę kostną, co zwiększa wytrzymałość miejsca złamania. Osteoblasty (komórki tworzące kość) nadal odgrywają kluczową rolę, gdyż produkują macierz kostną złożoną z kolagenu typu I oraz hydroksyapatytu, która stopniowo się mineralizuje i tworzy twardą kość. Równocześnie osteoklasty odpowiedzialne za resorpcję kości, usuwają nadmiar tkanki kostnej, co sprzyja formowaniu się prawidłowej struktury kości. Osteoklasty mają zdolność do resorpcji macierzy kostnej, podczas gdy różnicowanie i aktywność osteoklastów są koordynowane przez osteoblasty (komórki produkujące kość). Ich wzajemne relacje są kontrolowane poprzez system receptorów (RANKL), co pozwala kości na ciągłą przebudowę6.7 Wraz z ciągłą interakcją osteoblastów i osteoklastów, kostnina ulega powtarzającej się przebudowie – określanej mianem „sprzężonej przebudowy”. Ta „sprzężona przebudowa” jest równowagą między resorpcją przez osteoklasty, a tworzeniem nowej kości przez osteoblasty.
Faza przebudowy to ostatnia, najdłuższa faza zrostu kostnego, która może trwać nawet kilka lat. W tym etapie dochodzi do dalszej przebudowy tkanki kostnej, która zmierza do przywrócenia pierwotnej architektury kości i jej pełnej wytrzymałości. Tkanka kostna jest wciąż dynamicznie przebudowywana przez osteoklasty i osteoblasty. Osteoklasty resorbują starą kość, a osteoblasty tworzą nową tkankę kostną. Stymulacją do przebudowy jest obciążanie kończyny, kość przebudowuje się w odpowiedzi na siły mechaniczne działające na kość. Zjawisko to opisuje prawo Delpecha-Wolfa, które mówi, że kość dostosowuje swoją strukturę do sił mechanicznych, które na nią działają. Należy to rozumieć w ten sposób, że w miejscach nadmiernie obciążanych kość staje się przerośnięta i gruba, a w sytuacjach braku obciążenia kość zanika
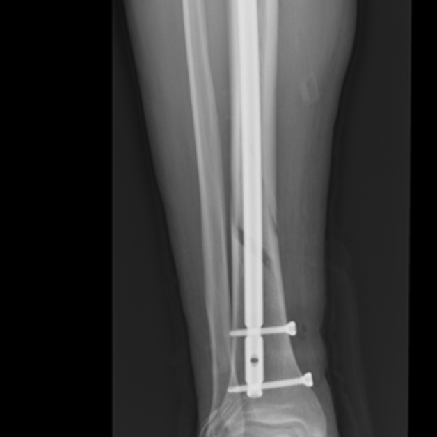
Zdjęcie 2.
Zdjęcia przedstawiają etapy gojenia (zrostu wtórnego), złamania kości piszczelowej zespolonej gwoździem śródszpikowym, od złamania do uzyskania zrostu.
Jeśli podoba Ci się to, co publikuję, udostępnij post na Facebooku – pomóż mi szerzyć wiedzę
Bibliografia:
- Einhorn TA, Gerstenfeld LC. Fracture healing: mechanisms and interventions. Nat Rev Rheumatol. 2015;11(1):45-54. doi:10.1038/NRRHEUM.2014.164
- Gerstenfeld LC, Cullinane DM, Barnes GL, Graves DT, Einhorn TA. Fracture healing as a post-natal developmental process: molecular, spatial, and temporal aspects of its regulation. J Cell Biochem. 2003;88(5):873-884. doi:10.1002/JCB.10435
- Lowry J. Bone Regeneration and Repair: Biology and Clinical Applications. Ann R Coll Surg Engl. 2006;88(3):334. doi:10.1308/003588406X106333C
- Sheen JR, Mabrouk A, Garla V V. Fracture Healing Overview. StatPearls. Published online April 8, 2023. Accessed September 30, 2024. https://www.ncbi.nlm.nih.gov/books/NBK551678/
- Dwek JR. The periosteum: what is it, where is it, and what mimics it in its absence? Skeletal Radiol. 2010;39(4):319-323. doi:10.1007/S00256-009-0849-9
- Anderson DM, Maraskovsky E, Billingsley WL, et al. A homologue of the TNF receptor and its ligand enhance T-cell growth and dendritic-cell function. Nature. 1997;390(6656):175-179. doi:10.1038/36593
- Yasuda H, Shima N, Nakagawa N, et al. Osteoclast differentiation factor is a ligand for osteoprotegerin/osteoclastogenesis-inhibitory factor and is identical to TRANCE/RANKL. Proc Natl Acad Sci U S A. 1998;95(7):3597. doi:10.1073/PNAS.95.7.3597
- Giannoudis P V., Einhorn TA, Marsh D. Fracture healing: the diamond concept. Injury. 2007;38 Suppl 4(4 SUPPL.). doi:10.1016/S0020-1383(08)70003-2
- Gerber C, Mast JW, Ganz R. Biological internal fixation of fractures. Arch Orthop Trauma Surg. 1990;109(6):295-303. doi:10.1007/BF00636165
- Clark D, Nakamura M, Miclau T, Marcucio R. Effects of Aging on Fracture Healing. Curr Osteoporos Rep. 2017;15(6):601-608. doi:10.1007/S11914-017-0413-9
- Gao F, Lv TR, Zhou JC, Qin XD. Effects of obesity on the healing of bone fracture in mice. J Orthop Surg Res. 2018;13(1). doi:10.1186/S13018-018-0837-7
- Meesters DM, Wijnands KAP, Brink PRG, Poeze M. Malnutrition and Fracture Healing: Are Specific Deficiencies in Amino Acids Important in Nonunion Development? Nutrients. 2018;10(11). doi:10.3390/NU10111597
- Patel RA, Wilson RF, Patel PA, Palmer RM. The effect of smoking on bone healing: A systematic review. Bone Joint Res. 2013;2(6):102-111. doi:10.1302/2046-3758.26.2000142
- Sloan A, Hussain I, Maqsood M, Eremin O, El-Sheemy M. The effects of smoking on fracture healing. Surgeon. 2010;8(2):111-116. doi:10.1016/J.SURGE.2009.10.014
- Victoria G, Petrisor B, Drew B, Dick D. Bone stimulation for fracture healing: What’s all the fuss? Indian J Orthop. 2009;43(2):117. doi:10.4103/0019-5413.50844
- Rutten S, Van Den Bekerom MPJ, Sierevelt IN, Nolte PA. Enhancement of Bone-Healing by Low-Intensity Pulsed Ultrasound: A Systematic Review. JBJS Rev. 2016;4(3). doi:10.2106/JBJS.RVW.O.00027
- Palanisamy P, Alam M, Li S, Chow SKH, Zheng YP. Low-Intensity Pulsed Ultrasound Stimulation for Bone Fractures Healing: A Review. J Ultrasound Med. 2022;41(3):547-563. doi:10.1002/JUM.15738
- Marsell R, Einhorn TA. The biology of fracture healing. Injury. 2011;42(6):551-555. doi:10.1016/J.INJURY.2011.03.031


















