Jak się leczy cystę Bakera?
Cysta Bakera, znana również jako torbiel podkolanowa (ang. popliteal cyst), to dość częste schorzenie stawu kolanowego. Bywa powodem niepokoju pacjentów z racji pojawienia się miękkiego guza w dole podkolanowym. U dorosłych pacjentów najczęściej występuje wtórnie do chorób zwyrodnieniowych i stanów zapalnych stawu kolanowego. Przedstawię aktualny stan wiedzy dotyczący etiologii, patofizjologii, obrazu klinicznego oraz metod diagnostycznych i terapeutycznych cysty Bakera, ze szczególnym uwzględnieniem najnowszych publikacji naukowych.
Torbiel Bakera, czyli torbiel podkolanowa, to wypełniona płynem masa, będąca rozdęciem kaletki maziowej w dole podkolanowym, najczęściej kaletki brzuchato-łydkowo-półbłoniastej. Ta kaletka jest wyjątkowa, ponieważ w przeciwieństwie do innych kaletek okołostawowych, komunikuje się ze stawem kolanowym poprzez otwór w torebce stawowej, za kłykciem przyśrodkowym kości udowej. Kaletki maziowe to wypustki błony maziowej. Ich zadaniem jest ochrona, zmniejszenie tarcia i ucisku oraz ułatwienie poślizgu w miejscach wrażliwych. Torbiel formuje się typowo pomiędzy ścięgnem mięśnia półbłoniastego (m. semimembranosus), a przyśrodkową głową mięśnia brzuchatego łydki (m. gastrocnemius)1. Torbiele podkolanowe rzadko występują samodzielnie i najczęściej występują w połączeniu z innymi patologiami wewnątrzstawowymi i stanami zapalnymi, takimi jak choroba zwyrodnieniowa stawów, uszkodzenia łąkotki i reumatoidalne zapalenie stawów. Uszkodzenia wewnętrza stawu prowokują błonę maziową do nadmiernej produkcji płynu stawowego, który ewakuuje się do cysty. U dzieci natomiast cysty mogą występować pierwotnie jako wynik przepukliny tylnej torebki stawowej.
Nazwa schorzenia pochodzi od nazwiska dr. Williama Morranta Bakera, który jako pierwszy szczegółowo opisał to schorzenie w 1877 roku2 .
Etiologia – mechanizm powstania.
Patogeneza cysty Bakera u dorosłych związana jest z obecnością połączenia pomiędzy stawem kolanowym, a kaletką maziową położoną między mięśniem półbłoniastym a przyśrodkową głową mięśnia brzuchatego łydki3. W warunkach fizjologicznych takie połączenie występuje u około 50% dorosłych osób jako normalna odmiana anatomiczna.
W przebiegu schorzeń zwyrodnieniowych i zapalnych kolana dochodzi do zwiększonej produkcji płynu maziowego. Podczas zgięcia kolana płyn ten, pod zwiększonym ciśnieniem, przemieszcza się przez połączenie kaletkowo-stawowe do kaletki. Podczas wyprostu napięcie mięśni zamyka to połączenie, działając jak zawór jednokierunkowy, co prowadzi do zatrzymania płynu w kaletce i progresywnego jej powiększenia.
Badania wskazują, że prawie 90% przypadkom cysty Bakera towarzyszą patologie wewnątrzstawowe 4. Do najczęstszych schorzeń współistniejących należą:
1.Uszkodzenia łąkotek – zwłaszcza tylnego rogu łąkotki przyśrodkowej, stanowiące najczęstszą przyczynę cyst Bakera u dorosłych5.
2.Choroba zwyrodnieniowa stawu kolanowego (gonartoza) – stwierdzana u znacznego odsetka pacjentów z cystą Bakera6.
3.Reumatoidalne zapalenie stawów – związane z występowaniem cyst u około połowy chorych7.
4.Ogniskowe uszkodzenia chrząstki (chonodromalacja).
5.Schorzenia zapalne stawów, w tym dna moczanowa i zapalenie stawów septyczne.
Objawy
Objawy są bardzo często powiązane z objawami choroby podstawowej, to znaczy uszkodzeniem łąkotek czy choroby zwyrodnieniowej stawu. Do typowych objawów torbieli Bakera należą:
- Wyczuwalne zgrubienie lub guz w dole podkolanowym
- Uczucie napięcia i dyskomfortu w tylnej części kolana
- Ból, szczególnie podczas wyprostowania kolana
- Ograniczenie zakresu ruchu w stawie kolanowym
- Obrzęk podudzia (w przypadku dużych cyst)
Diagnostyka i rozpoznanie
Dla doświadczonego ortopedy rozpoznanie torbieli Bakera nie stanowi problemu. Podczas rutynowego badania ortopedycznego można postawić właściwą diagnozę. Badanie fizykalne powinno obejmować palpację dołu podkolanowego przy ugiętym i wyprostowanym kolanie. Cysta Bakera typowo prezentuje się jako gładka, elastyczna, niepulsująca masa w przyśrodkowej części dołu podkolanowego, która może zmniejszać się lub zanikać podczas pełnego wyprostu kolana (objaw Fouriera)8. Należy ocenić zakres ruchu w stawie, stabilność więzadeł oraz przeprowadzić testy prowokacyjne dla uszkodzonych łąkotek.
Badania dodatkowe – diagnostyka obrazowa
Ultrasonografia cysty Bakera (USG)
W przypadku diagnostyki torbieli Bakera, ultrasonografia stanowi metodę pierwszego wyboru, ze względu na łatwą dostępność, niski koszt i brak ekspozycji na promieniowanie jonizujące. W badaniu USG cysta prezentuje się jako hipoechogeniczne lub anechogeniczne, dobrze odgraniczone ognisko płynowe położone między ścięgnem mięśnia półbłoniastego a przyśrodkową głową mięśnia brzuchatego łydki9. USG pozwala również na różnicowanie prostych cyst od powikłanych (z przegrodami, ciałami wolnymi) oraz umożliwia wykluczenie zakrzepicy żył głębokich w obrazie dopplerowskim. Ograniczeniem badania usg jest brak możliwości dokładnej oceny stawu i tym samym diagnozy możliwych przyczyn tzn uszkodzenia łąkotek czy chrząstki stawu.
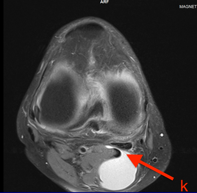
Rezonans magnetyczny cysty Bakera (MRI)
Rezonans magnetyczny nie tylko potwierdza obecność cysty, ale umożliwia dokładną ocenę współistniejących patologii wewnątrzstawowych10. W obrazach T2-zależnych cysta prezentuje się jako jednorodny obszar wysokiego sygnału położony w dole podkolanowym z charakterystycznym połączeniem ze stawem11. MRI jest szczególnie przydatne w planowaniu leczenia operacyjnego oraz w diagnostyce różnicowej, umożliwiając odróżnienie cysty od torbieli łąkotki, guzów, tętniaków czy krwiaków. Zdjęcia 1,2
Leczenie
Leczenie zachowawcze nieoperacyjne.
Bezobjawowe cysty Bakera nie wymagają leczenia i zaleca się jedynie obserwację. U dzieci cysty często ulegają samoistnej regresji (w 84% przypadków) i rzadko wymagają interwencji 12. Niesteroidowe leki przeciwzapalne (NLPZ) stanowią podstawę leczenia objawowego, łagodząc ból i zmniejszając stan zapalny. W przypadku współistniejącej choroby zwyrodnieniowej stosowane są także leki chondroprotekcyjne z grupy SYSADOA (Symptomatic Slow Acting Drugs for Osteoarthritis), choć ich skuteczność w leczeniu samej cysty pozostaje kontrowersyjna.
Fizjoterapia-rehabilitacja
Programy fizjoterapeutyczne obejmujące ćwiczenia wzmacniające mięśnie czworogłowe uda, ćwiczenia zakresu ruchu oraz terapię fizyczną (krioterapia, elektroterapia) mogą przynosić korzyści u pacjentów z niewielkimi objawami.
Leczenie małoinwazyjne
Zanim zdecydujemy się na chirurgiczne usunięcie cysty, można spróbować techniki małoinwazyjnych, które polegają na punkcji cysty (aspiracji igłą i strzykawką). Punkcja cysty Bakera z aspiracją płynu i wstrzyknięciem glikokortykosteroidów pod kontrolą ultrasonograficzną stanowi skuteczną metodę leczenia objawowych torbieli13,14. Badania dowodzą, że połącznie aspiracji płynu z podaniem leku sterydowego do torbieli prowadzi do trwałego zmniejszenia dolegliwości u większości pacjentów15
Leczenie chirurgiczne
Leczenie operacyjne wykonywane jest rzadko i jest zarezerwowane dla przypadków opornych na leczenie zachowawcze, dużych torbieli powodujących istotne objawy uciskowe oraz powikłań takich jak zakażenie czy ucisk nerwowo-naczyniowy.
Kluczowym elementem skutecznego leczenia chirurgicznego jest rozwiązanie pierwotnej patologii wewnątrzstawowej, która doprowadza do powstania cysty16. Izolowana resekcja cysty bez leczenia schorzenia wewnątrzstawowego wiąże się z wysokim odsetkiem nawrotów sięgającym nawet 63%.
Metody artroskopowe
Współczesne podejście preferuje techniki artroskopowe ze względu na mniejszą inwazyjność i krótszy czas rekonwalescencji.
Opisano kilka technik artroskopowych polegających na:
- Poszerzenie połączenia kaletkowo-stawowego – artroskopowe otwarcie zaworu jednokierunkowego między stawem a cystą, umożliwiające swobodny przepływ płynu.
- Wewnętrzny drenaż z/bez resekcji ściany cysty.
- Technika z bezpośrednim dostępem tylnym, wykorzystująca bezpośredni portal tylno-przyśrodkowy umożliwiający usunięcie cysty.
Techniki otwarte i łączone
W przypadkach opornych lub złożonych, dużych stosuje się kombinację artroskopii z klasycznym, otwartym usunięciem cysty. Badania porównawczym wykazały, że artroskopowe leczenie uzupełnione otwartą klasyczną operacją, daje lepsze wyniki kliniczne niż sama artroskopia, zwłaszcza w przypadku dużych i objawowych cyst 17.
Metaanaliza Zhou i wsp. (2016) potwierdziła, że leczenie chirurgiczne cysty Bakera, szczególnie z uwzględnieniem patologii wewnątrzstawowej, prowadzi do dobrych wyników klinicznych i niskiego odsetka nawrotów 18.
Powikłania torbieli Bakera
Najczęstsze powikłania cysty Bakera obejmują:
Pęknięcie torbieli – może prowadzić do nagłego, silnego bólu podudzia, obrzęku i zaczerwienienia skóry, co klinicznie przypomina zakrzepicę żył głębokich (zespół pseudozakrzepowego zapalenia żył) [25,26]. Pęknięta cysta może powodować rozsiew płynu maziowego do przestrzeni międzymięśniowych podudzia [27].
Zakażenie – rzadkie, ale poważne powikłanie, które może prowadzić do ropnego zapalenia stawu. W piśmiennictwie opisano przypadki septycznych cyst Bakera wymagających intensywnego leczenia antybiotykowego i chirurgicznego [28,29].
Ucisk struktur naczyniowo-nerwowych – duże cysty (>150 ml) mogą uciskać żyłę podkolanową prowadząc do obrzęku kończyny, a w rzadkich przypadkach do rzeczywistej zakrzepicy żył głębokich [30,31]. Opisywano także przypadki ucisku tętnicy podkolanowej i nerwu strzałkowego [32].
Zespół ciasnoty powięziowej – w ekstremalnie rzadkich przypadkach pęknięcie dużej cysty może prowadzić do rozwoju zespołu ciasnoty przedziału podudzia wymagającego pilnej fasciotomii.
Rokowanie
Większość pacjentów z cystą Bakera ma dobre rokowanie. Bezobjawowe małe cysty często nie wymagają leczenia. Leczenie zachowawcze i aspiracja z iniekcją kortykosteroidów przynoszą poprawę u znacznego odsetka chorych, choć efekt może być przejściowy. Badania wykazały, że u pacjentów z cystą Bakera towarzyszącą artrozą kolana leczenie zachowawcze (NLPZ, fizjoterapia, iniekcje) prowadzi do istotnej poprawy w krótkim okresie (1-3 miesiące), jednak w średnim okresie (6 miesięcy) skuteczność terapii maleje19 . Sugeruje to konieczność długoterminowego podejścia i ewentualnej konieczności powtarzania interwencji. Leczenie chirurgiczne z adresowaniem patologii wewnątrzstawowej wiąże się z niższym odsetkiem nawrotów i lepszymi długoterminowymi wynikami w porównaniu z izolowanym usunięciem cysty cystektomią 20.
Podsumowanie
Cysta Bakera stanowi częste schorzenie stawu kolanowego, występujące najczęściej wtórnie do zmian zwyrodnieniowych i uszkodzeń wewnątrzstawowych. Diagnostyka opiera się przede wszystkim na badaniu ortopedycznym. Celem potwierdzenia patologii można wykonać badanie ultrasonograficzne. Rezonans magnetyczny jest metodą diagnostyczna w przypadkach skomplikowanych. Leczenie powinno być dostosowane do nasilenia objawów i wielkości cysty – od obserwacji przez leczenie zachowawcze, aspirację z iniekcją kortykosteroidów, aż po interwencję chirurgiczną w przypadkach opornych. Kluczowym elementem skutecznej terapii jest leczenie pierwotnej patologii wewnątrzstawowej. Współczesne podejście preferuje techniki małoinwazyjne, w tym artroskopowe, które łączą niską inwazyjność z możliwością kompleksowego leczenia zarówno cysty, jak i współistniejących zmian w stawie kolanowym.
Jeśli chcielibyście, abym napisał artykuł na interesujący Was temat, zapraszam do kontaktu: poczta@biegajacyortopeda.pl!
1. Leib AD, Roshan A, Foris LA, Varacallo MA. Baker’s Cyst. StatPearls. Published online August 4, 2023. Accessed October 7, 2025. https://www.ncbi.nlm.nih.gov/books/NBK430774/
- Baker WM. On the formation of synovial cysts in the leg in connection with disease of the knee-joint. 1877. Clin Orthop Relat Res. 1994;(299):2-10. doi:10.1097/00003086-199402000-00001
- Rauschning W. Anatomy and function of the communication between knee joint and popliteal bursae. Ann Rheum Dis. 1980;39(4):354-358. doi:10.1136/ard.39.4.354
- Ahn JH, Lee SH, Yoo JC, Chang MJ, Park YS. Arthroscopic treatment of popliteal cysts: Clinical and magnetic resonance imaging results. Arthroscopy – Journal of Arthroscopic and Related Surgery. 2010;26(10):1340-1347. doi:10.1016/j.arthro.2010.02.012
- Stone KR, Stoller D, De Carli A, Day R, Richnak J. The frequency of Baker’s cysts associated with meniscal tears. Am J Sports Med. 1996;24(5):670-671. doi:10.1177/036354659602400518
- Liao ST, Chiou CS, Chang CC. Pathology associated to the Baker’s cysts: a musculoskeletal ultrasound study. Clin Rheumatol. 2010;29(9):1043-1047. doi:10.1007/S10067-010-1483-6
- Andonopoulos AP, Yarmenitis S, Sfountouris H, Siamplis D, Zervas C, Bounas A. Baker’s cyst in rheumatoid arthritis: an ultrasonographic study with a high resolution technique. Clin Exp Rheumatol. 1995;13(5):633-636. Accessed October 9, 2025. https://europepmc.org/article/med/8575143
- Torreggiani WC, Al-Ismail K, Munk PL, et al. The imaging spectrum of Baker’s (Popliteal) cysts. Clin Radiol. 2002;57(8):681-691. doi:10.1053/crad.2001.0917
- Kane D, Balint P V., Gibney R, Bresnihan B, Sturrock RD. Differential diagnosis of calf pain with musculoskeletal ultrasound imaging. Ann Rheum Dis. 2004;63(1):11-14. doi:10.1136/ARD.2002.002824
- Toussaint SP, McCabe S. Baker’s cyst imaging. Int J Emerg Med. 2010;3(4):469-470. doi:10.1007/S12245-009-0157-0/FIGURES/3
- 43. Weerakkody Y, Walizai T, Ranchod A, et al. Baker cyst. Radiopaedia.org. 2025. – Szukaj w Google. Accessed October 10, 2025. https://www.google.com/search?q=43.+Weerakkody+Y%2C+Walizai+T%2C+Ranchod+A%2C+et+al.+Baker+cyst.+Radiopaedia.org.+2025.&oq=43.%09Weerakkody+Y%2C+Walizai+T%2C+Ranchod+A%2C+et+al.+Baker+cyst.+Radiopaedia.org.+2025.&gs_lcrp=EgZjaHJvbWUyBggAEEUYOTIGCAEQLhhA0gEIMjQ2MGowajSoAgCwAgE&sourceid=chrome&ie=UTF-8
- Neubauer H, Morbach H, Schwarz T, Wirth C, Girschick H, Beer M. Popliteal cysts in paediatric patients: clinical characteristics and imaging features on ultrasound and MRI. Arthritis. 2011;2011:1-7. doi:10.1155/2011/751593
- Fredericksen K, Kiel J. Bedside ultrasound-guided aspiration and corticosteroid injection of a baker’s cyst in a patient with osteoarthritis and recurrent knee pain. JACEP Open. 2021;2(2). doi:10.1002/emp2.12424
- Mortada M, Amer YA, Zaghlol RS. Efficacy and Safety of Musculoskeletal Ultrasound Guided Aspiration and Intra-Lesional Corticosteroids Injection of Ruptured Baker’s Cyst: A Retrospective Observational Study. Clin Med Insights Arthritis Musculoskelet Disord. 2020;13. doi:10.1177/1179544120967383
- Stroiescu AE, Laurinkiene J, Courtney K, Moriarty HK, Kelly IP, Ryan AG. Management of symptomatic Baker’s cysts with ultrasound and fluoroscopic-guided aspiration followed by therapeutic injection with Depomedrone and Bupivacaine leads to a durable reduction in pain symptoms in a majority of patients; A case series and literature review. Ulster Med J. 2023;92(1):24. Accessed October 10, 2025. https://pmc.ncbi.nlm.nih.gov/articles/PMC9899033/
- Afandiyeva MA, Janbachishov QS. Baker’s Cyst. Sports Health. 2015;(1):125-127. doi:10.1177/1941738113520130
- Xinxian X, Yuezheng H, Jian L, Huachen Y. Clinical outcome of arthroscopic management of popliteal cysts with or without additional posterior open cystectomy. Orthopade. 2018;47(6):530-535. doi:10.1007/S00132-018-3573-0
- Zhou X nan, Li B, Wang J shi, Bai L hao. Surgical treatment of popliteal cyst: a systematic review and meta-analysis. J Orthop Surg Res. 2016;11(1). doi:10.1186/S13018-016-0356-3
- Abate M, Di Carlo L, Di Iorio A, Salini V. Baker’s Cyst with Knee Osteoarthritis: Clinical and Therapeutic Implications. Medical Principles and Practice. 2021;30(6):585-591. doi:10.1159/000518792
- Saylik M, Gökkuş K. Treatment of baker cyst, by using open posterior cystectomy and supine arthroscopy on recalcitrant cases (103 knees). BMC Musculoskelet Disord. 2016;17(1). doi:10.1186/S12891-016-1291-5/TABLES/1











