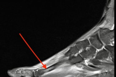
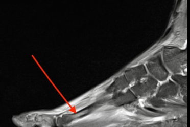
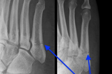
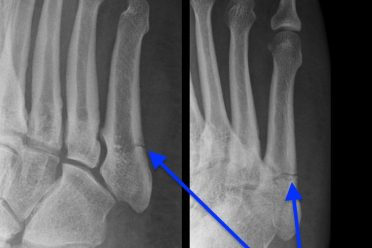
Czy kontuzja Roberta Lewandowskiego da się wyleczyć przed EURO? Kontuzje mięśniowe – naciągnięcia, naderwania i zerwania
Jak unikać kontuzji – cz.I – Rolowanie mięśni: doskonały sposób na ćwiczenia rozluźniające dla biegaczy